
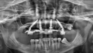
Todo lo que debes saber sobre el implante dental sin hueso
Descubre qué es un implante dental sin hueso, sus ventajas y opciones disponibles para recuperar tu sonrisa sin injertos óseos.

Descubre qué es un implante dental sin hueso, sus ventajas y opciones disponibles para recuperar tu sonrisa sin injertos óseos.

¿Quieres saber más acerca de la Prótesis Inmediata? En este artículo te lo contamos. Clínica Especializada en Prótesis Inmediatas en Palma de Mallorca. Contáctanos.

Conoce nuestra Clínica Especializada en Implantes Dentales en Palma de Mallorca. Especialistas en la Técnica All on 4 y All on 6. Contáctanos y Déjanos Ayudarte.

¿Quieres conocer la solución permanente a la Pérdida de Dientes? Para ello están los Implantes Dentales y en este artículo te contamos todo lo que has de saber de ellos.

¿Quieres saber qué soluciones hay para la prótesis dental fija? En este artículo te lo explicamos. En Clínica Estanislao Planas somos especialistas en Implantología Dental.

¿Quieres saber las soluciones que hay para los implantes dentales sin hueso? En este artículo te lo explicamos. Especialistas en Implantología Dental.

¿Quieres saber más acerca del implante dental inmediato? En este artículo te contamos todo lo que necesitas saber. Especialistas en implantología dental.

¿Te interesa tener dientes fijos en un día? En este artículo te contamos lo que has de saber. En Clínica Estanislao Planas somos especialistas en implantología dental.


a tecnología de implantación ha avanzado abriendo nuevas y mejores oportunidades para que los pacientes puedan recuperar su sonrisa. En este artículo te contaremos las

La pérdida de una o varias piezas dentales puede provocar múltiples consecuencias negativas en el paciente. No solo a nivel estético, sino también en el aspecto físico.

Perder los dientes, además de afectar la autoestima y la seguridad de las personas, también genera problemas en la funcionalidad de la mandíbula, causando dificultades para comer, para hablar y